Dental Bonding
Enhance your smile quickly with a painless, affordable cosmetic bonding procedure.
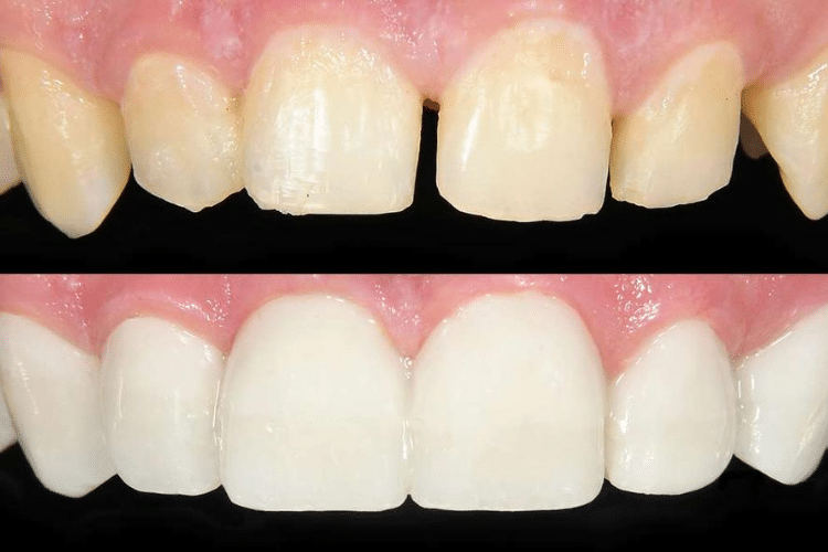
Quick, Natural-Looking Smile Enhancements with Dental Bonding
At Cura Dental, we offer dental bonding to repair minor imperfections and enhance your smile in a fast, affordable, and minimally invasive way. Using tooth-colored composite resin, dental bonding restores chipped, cracked, or discolored teeth with natural-looking results—often in just one visit.
What Is Dental Bonding?
Benefits of Dental Bonding
Dental bonding is a cosmetic dental procedure that uses a tooth-colored composite resin to repair or improve the appearance of teeth. The resin is carefully shaped and bonded to the tooth, then hardened with a special light to create a strong, seamless finish that blends naturally with your smile.
Why You May Choose Dental Bonding
Patients often choose dental bonding to address:
Chipped or cracked teeth
Discolored or stained teeth
Small gaps between teeth
Uneven or misshapen teeth
Minor tooth decay
Exposed tooth roots from gum recession
Dental bonding is a quick and effective solution for subtle smile improvements.
Dental bonding offers several advantages:
Fast treatment, often completed in one visit
Minimally invasive, preserving natural tooth structure
Cost-effective cosmetic solution
Natural-looking, tooth-colored results
No anesthesia required in most cases
Immediate improvement in appearance
Our Dental Bonding Process
At Cura Dental, bonding is simple and comfortable:
1. Consultation & Shade Matching
We evaluate your smile and match the resin to your natural tooth color.
2. Tooth Preparation
The tooth surface is gently prepared to ensure proper bonding.
3. Resin Application & Shaping
Composite resin is applied, sculpted, and shaped to achieve the desired result.
4. Hardening & Polishing
The resin is cured with a special light and polished for a smooth, natural finish.
How Long Does Dental Bonding Last?
With proper care, dental bonding typically lasts 3–7 years. Maintaining good oral hygiene and avoiding habits like biting hard objects can help extend its lifespan.
Caring for Bonded Teeth
To keep bonded teeth looking their best:
Brush and floss daily
Avoid chewing ice, pens, or hard foods
Limit staining foods and drinks
Visit your dentist regularly for cleanings and exams
Is Dental Bonding Right for You?
Dental bonding is ideal for patients seeking minor cosmetic improvements without extensive dental work. During your consultation, we’ll help determine whether bonding, veneers, or another treatment best fits your goals.
Schedule Your Dental Bonding Appointment at Cura Dental
Ready to enhance your smile with a simple, effective solution? Cura Dental’s dental bonding services provide fast, natural-looking results you’ll love.
Schedule your dental bonding consultation today.

